Fracturas

Treatment Name

Acude a consulta de forma presencial u online

Una fractura es la rotura en un hueso, muy frecuente tras golpes, caídas o accidentes, aunque también pueden deberse a sobrecargas o patologías previas.

Puede ir desde una pequeña fisura hasta una fractura completa con desplazamiento de los fragmentos. Las fracturas pueden afectar cualquier hueso del cuerpo y varían mucho en gravedad. 

Es importante escoger el mejor tratamiento para evitar complicaciones, restablecer la forma y función del hueso para facilitar su consolidación, reducir complicaciones y acelerar la recuperación.

 

FRACTURA DE PELVIS Y ACETÁBULO

La pelvis conecta la columna con las piernas y soporta el peso del cuerpo. Puede fracturarse por traumatismos graves o por osteoporosis.

El acetábulo es la parte de la pelvis que forma la cavidad donde encaja la cabeza del fémur, formando la articulación de la cadera.

Algunas fracturas sanan con reposo, pero otras necesitan cirugía.

FRACTURA DE CADERA

Las fracturas de cadera (fémur proximal) son frecuentes en personas mayores tras caídas. 

La opciones de tratamiento pueden ir desde la osteosíntesis (fijar los huesos con clavos, tornillos o placas) a la prótesis de cadera, dependiendo del tipo de fractura (subcapital, pertrocantérea, subtrocantérea)

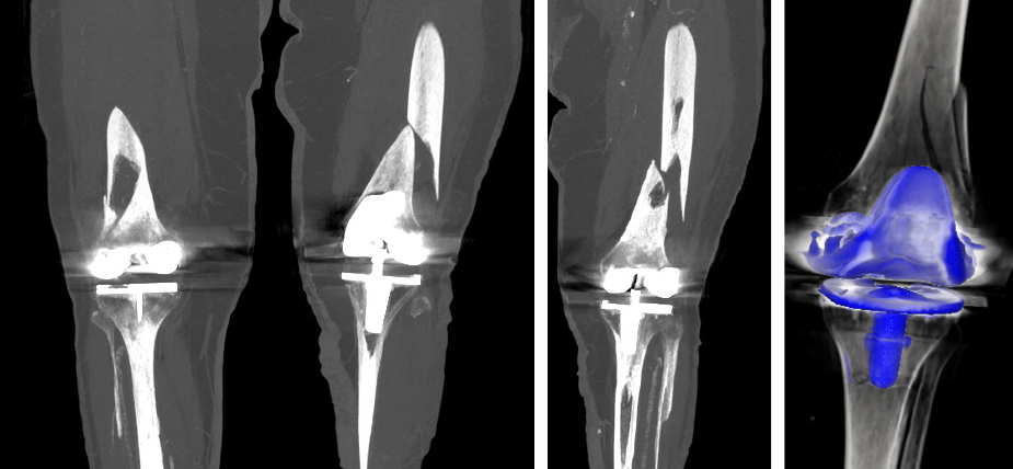
FRACTURAS PERIPROTÉSICAS

Ocurren justo alrededor de una prótesis de cadera y/o rodilla ya colocada. Algunas fracturas se pueden arreglar mediante osteosíntesis, que consiste en fijar el hueso con tornillos, placas o clavos, para que vuelvan a unirse y recuperen su función.

En otros casos, puede ser necesario reemplazar parcial o totalmente la prótesis.

La intervención busca estabilizar la zona y facilitar la recuperación, permitiendo que el paciente vuelva a caminar lo antes posible.

FRACTURA DE FEMUR Y TIBIA

Son roturas en los huesos largos de la pierna. La mayoría necesitan cirugía para volver a unir los huesos y recuperar la función normal de la pierna.

FRACTURAS PERIPROTÉSICAS

Ocurren justo alrededor de una prótesis de cadera y/o rodilla ya colocada. Algunas fracturas se pueden arreglar mediante osteosíntesis, que consiste en fijar el hueso con tornillos, placas o clavos, para que vuelvan a unirse y recuperen su función.

En otros casos, puede ser necesario reemplazar parcial o totalmente la prótesis.

La intervención busca estabilizar la zona y facilitar la recuperación, permitiendo que el paciente vuelva a caminar lo antes posible.

FRACTURA DE FEMUR Y TIBIA

Son roturas en los huesos largos de la pierna. La mayoría necesitan cirugía para volver a unir los huesos y recuperar la función normal de la pierna.

FRACTURA DE TOBILLO

El tobillo es la articulación que une la tibia y el peroné con los huesos del pie, permitiendo caminar y soportar el peso. Puede sufrir fracturas tras caídas o torceduras.
Algunas lesiones requieren sólo descanso e inmovilización, pero en otros casos es necesaria la cirugía para alinear y fijar los huesos.

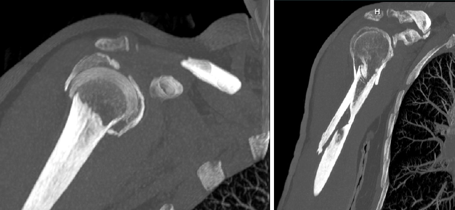
FRACTURA DE MIEMBRO SUPERIOR

Incluyen fracturas de clavícula, húmero, codo, antebrazo y muñeca. Muchas se tratan con yeso o férula, pero las desplazadas o graves requieren cirugía para fijar los huesos y recuperar la fuerza y la movilidad.

Resumen de privacidad

Esta web utiliza cookies para que podamos ofrecerte la mejor experiencia de usuario posible. La información de las cookies se almacena en tu navegador y realiza funciones tales como reconocerte cuando vuelves a nuestra web o ayudar a nuestro equipo a comprender qué secciones de la web encuentras más interesantes y útiles.